TEL:048-474-1563
当院の2,500症例以上に及ぶセラミックの経験が、あなたの歯の長持ちを助けてくれると思います。
日本臨床歯科CADCAM学会認定医(同学会 CAD/CAM クリニカルコースインストラクター、ISCDセレック国際トレーナー)による本物のセラミック治療をご体験ください。
当院ならではの、
・その方の見た目にぴったり合ったセラミック
・その方の奥歯の噛む力に合わせた強度の高いセラミック
・割れたり取れたりすることのほとんどない丁寧な接着技術
・デジタル技術を駆使した精度の高いセラミック
それら全てを兼ね備えたセラミック治療を提供することができます。
患者様のニーズをお聞きしながらその方に合った治療計画をお勧めさせていただき

院内のレントゲン(CT含む)のリニューアルのお知らせ
2025年1月19日
最新のブログ

歯の色を意識しながらキレイに!(ジルコニア)
2025年12月14日

昨年と今年出版されました。歯科医院、歯科技工士向けの本に、当院の治療例も載せていただきました。
ジルコニア治療の先駆けとしてこれからも全国の歯科医師の先頭に立っていけるよう、患者様のためになる治療を行うよう治療を丁寧に行ってまいります!
志木駅改札横の動画広告看板にてこの動画が流れています。よければチェックしてみて下さい。
佐藤デンタルクリニックの特徴
埼玉県志木市の佐藤デンタルクリニックでは患者様のお口のお悩みに親身になって耳を傾け、最も適した治療法を提案いたします。
また、当医院では「丁寧な説明とスピーディーな治療!」をモットーとして歯周病、虫歯治療、入れ歯などの一般治療から矯正、インプラント、審美といった高度な技術を必要とする治療まで幅広く対応しております。
痛みを治す歯医者から痛くならないための歯医者へ。
私もこの言葉を胸に刻んで、予防歯科、定期検診など行っております。ぜひ、一度ご相談ください。
佐藤デンタルクリニックに来てよかったと思ってもらえるよう、スタッフ一同、誠心誠意努めてまいります。
診療が空いている日時を確認できます。
最新の歯科治療
<セレック>
を導入
セレックとは、コンピュータを使ってオリジナルの歯に限りなく近い詰め物や被せ物を、その場で設計・加工する審美的治療機器で、健康的な美しい歯をよみがえらせます。
仮歯不要で衛生的な方法で、症例によって異なりますが、通院1日・最短1時間での治療も可能です。
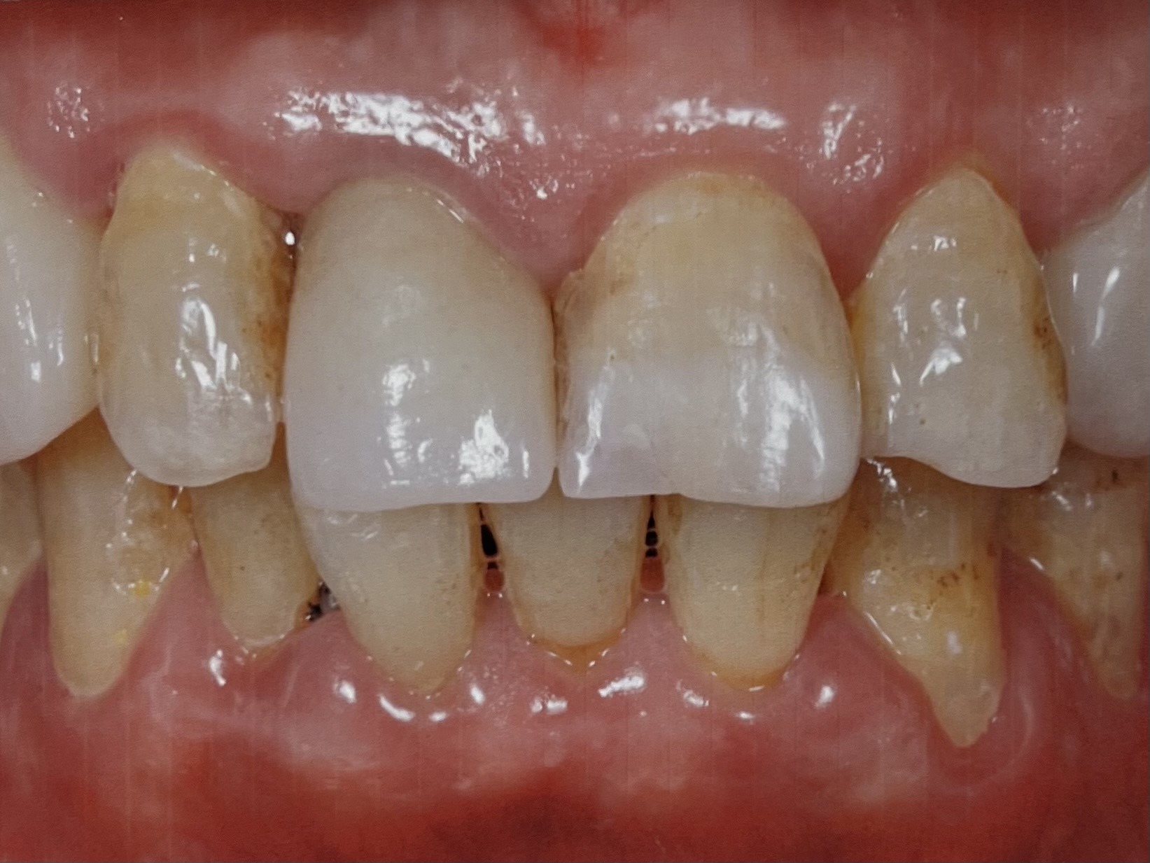
セラミック事例

セラミックの強度が長持ちを作る
2025年9月21日

フルジルコニアで銀歯を治療
2025年4月8日

銀歯をセラミックで修復(エナミック)
2025年4月8日

気づかず大きくなる虫歯!早く気づいて
2025年2月1日
診療項目
お知らせ
佐藤デンタルクリニック
ご予約・お問合せ
TEL:048-474-1563
診療受付時間:
9時30分~13時00分
15時~18時半(土16時半まで)
休診日:水・日・祝
所在地:
埼玉県志木市本町5-14-22
ビレッタ志木1F
志木駅東口徒歩4分(丸井側)
志木郵便局正面
駐車場あります
TEL:048-474-1563







