前歯4本をセラミックに変えました!
今回の患者様は前歯を4本、セラミックに変えましたのでその事例をご紹介します。
虫歯にならないためにはどうしたら良いのでしょうか?
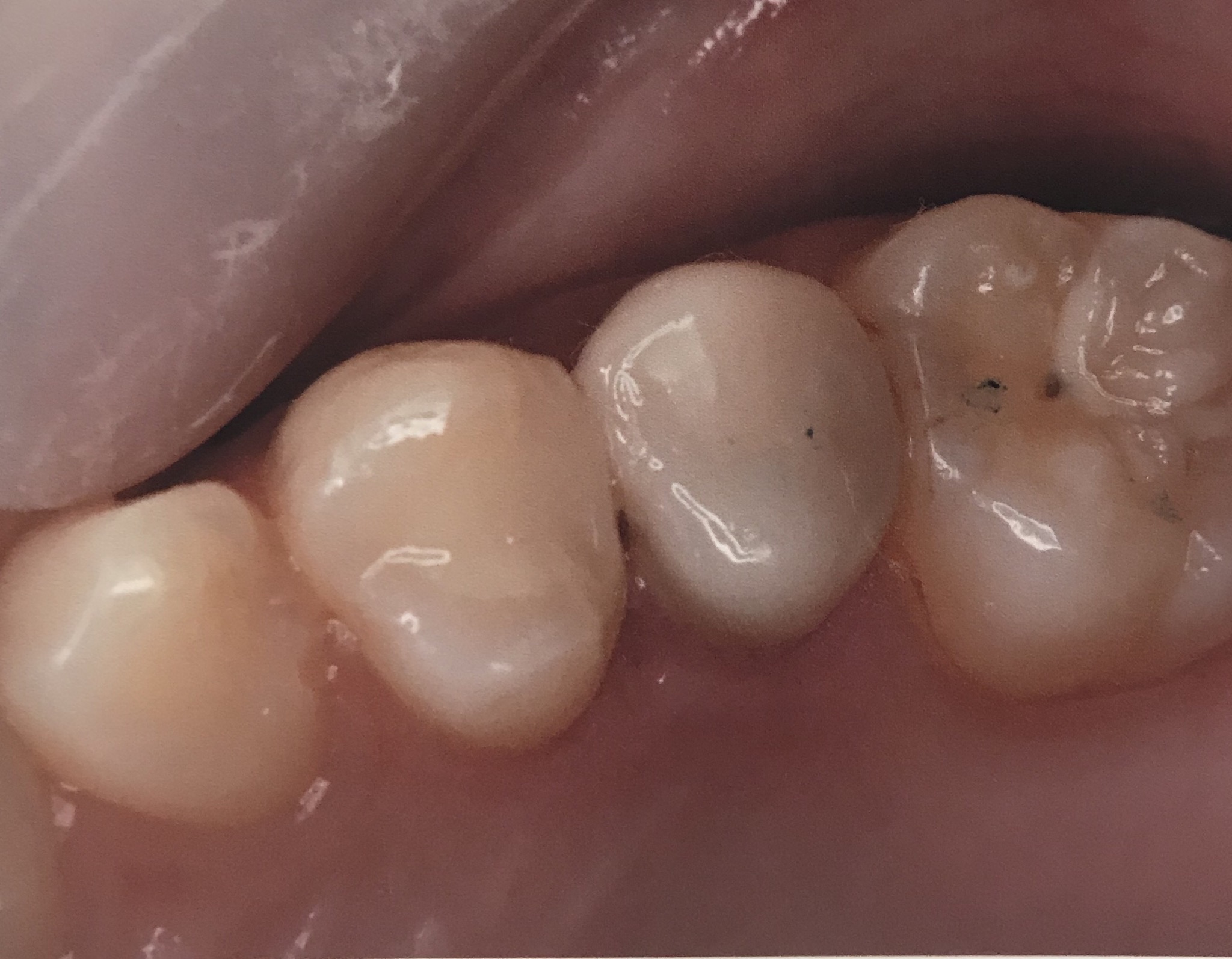
虫歯の治療の基本は、虫歯はしっかりと除去し、周りをしっかりと覆うということです。
今回は、下の前歯6本を治した患者様です! 下の術前の写真から分かるように、保険のプラスチックな部分が摩耗し、穴が開いてしまっています。上と下とのあたりが強かったり、かみ合わせの問題でこうなることはありますが、 当然、穴の […]
今月より、志木駅改札横にある、動画の看板に、【銀歯は治療の途中?】という30秒の動画の広告を載せ始めました。見た方はおられますか? コミカル仕立ての、動画となっているので、志木駅にお立ち寄りの時は、いちど、見てみてくださ […]
11/28日曜日に、都内でおこなわれた、セラミックの研修会に、参加してまいりました。 今回は、セラミックをいれるための、削り方、接着の仕方にマトを絞ったお話でした。 実はこのお話も参加するのは、3回目になるのですが、毎回 […]
いまでも奥歯の治療というと、銀歯が治療の中心ですが、何百、何千もの銀歯をはずして思うことは、銀歯は虫歯になりやすいということです。 穴があいた、かけた、痛みが出たと歯医者に来られる方は多いのですが、実は、見た目的に問題が […]
オールセラミックの世界も、少しずつメインとなる種類が整理されて、それぞれが成熟していく時期に入ってきたように思います。 また、技工士さんの設備投資により、多くの技工所でセラミックを作ることができるようになり、メタルセラミ […]
【治療後】前歯、奥歯とも銀歯や金属フレームのメタルセラミックが多数入っていました。 患者さんの希望もあり、一回一本のペースで、セラミックに変えていきました。 この本数の割には、早く半年程度で上下20本程度のメタルをセラミ […]
【治療後】前歯のセラミック治療を行っています。 上のブリッジは、ハガキの周りがさがり、虫歯になっていました。 見た目もよくなかったので、オールセラミックでやりなおしてあります。 また、下の歯は、色が 変わって来てしまいま […]
最近、セラミックに詳しい方は、白い歯を入れたいではなく、ジルコニアの歯を入れたいと来られる方が多くなってきました。 ジルコニアとは、セラミックの一種で、特徴としては強度が高く、ブリッジなど特に強度が求められる歯に使用され […]