

埼玉県志木市の佐藤デンタルクリニックです。今回は、前歯の作り直しにさいして、隣の歯に合わせながらでもキレイにして欲しいというリクエストを受けましたので、その辺りを気にしながら、白い歯を作ってみた治療例です。
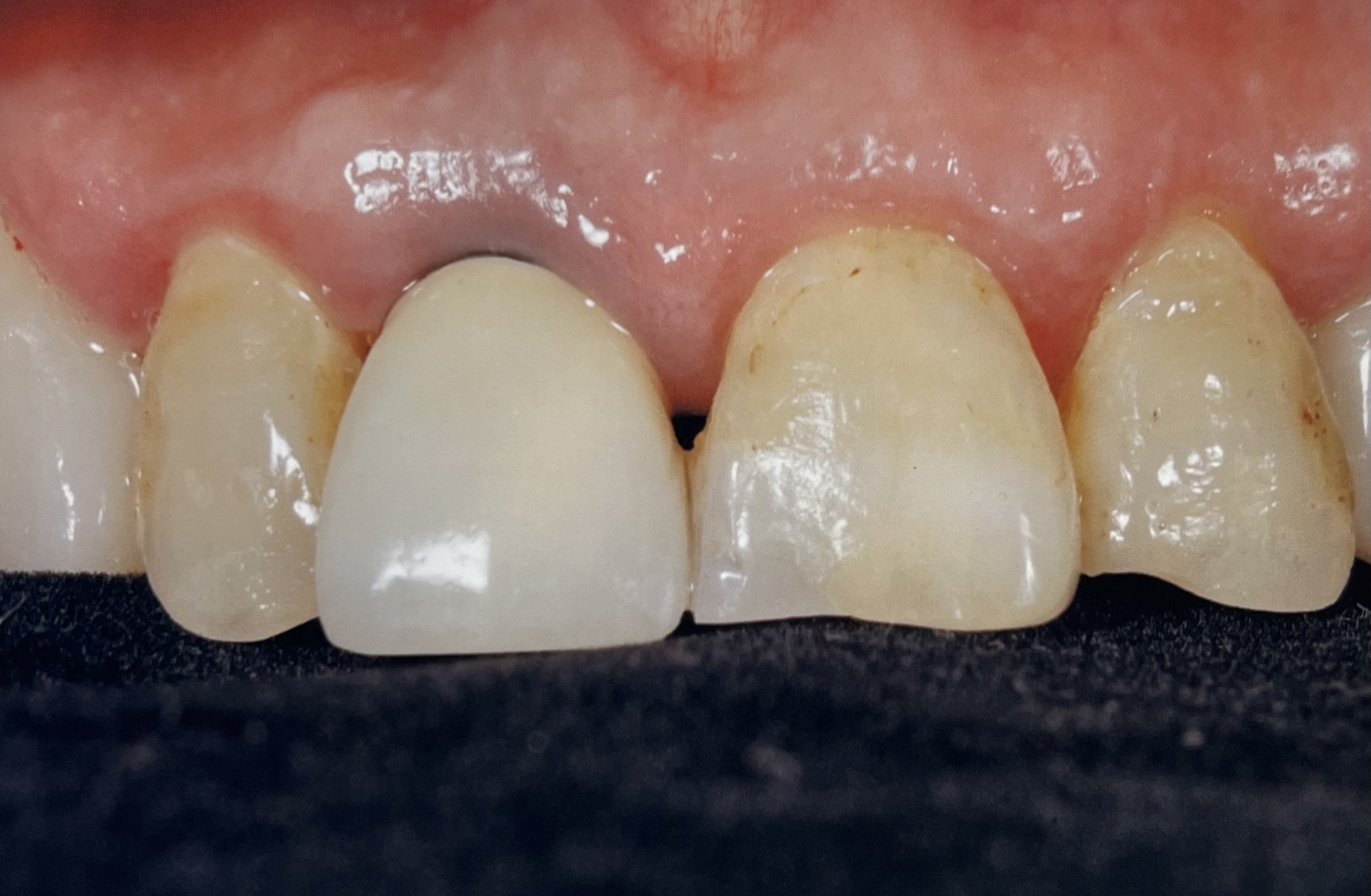
上が治療後、下が治療前となります!
以前の歯は、メタルの上にセラミックを乗せたメタルボンドと言われる保険外の歯が入っていましたが、色がキレイなんだけど既製品みたいで嫌だといわれてました、
そこで今回は、モノリシックのジルコニアを用いてコストを抑えつつ、特別なテクニックをもちいて、リアルな歯の色味や明るさ、形態などを隣の歯に合わせる形で再現しています。
一般的なジルコニアというと、強度が高く破れない、表面がツルツルしていてプラークがほぼつかないということが言われますが、さらに作り方の経験をつむとともに、新しいテクニック(インフィルトレーション、長時間シンタリングが)を用いることに、写真のように自然な歯の色と質感を再現することができます、


ここで気をつけなくてはいけないのは、隣の歯の下の部分の黄色オレンジが強い部分はうまくキャンセルして欲しいというリクエストでした、
これは、前は言っていたような綺麗だけど既製品のようなレシピでは再現することができません、また、どのくらい隣の歯の質感に合わせながら、患者さんの希望であるせっかくだからキレイに!という希望を意識しなければいけなません。
当院では、歯を削るのも、セラミック作製も院長がおこなっております。そうすることで作製の時設計の時にも、CAD画面(設計画面)をお見せしながら作成していくことが出来ますし、完全オーダーメイドとなるため、その方の歯並び、噛み合わせ、歯の形などを意識しながら細やかな歯のグラデュエーションも再現しています!
その上で色のご相談も患者様と院長が直接話すため、ニュアンスも伝わりやすく、ラボが併設されているなめ、万が一、微妙なニュアンスが気に入らなくてもその場で短時間に修正することが出来ます、
その結果できたのがこの歯ですが、真ん中までの色味、明るさ、色合いを隣の歯を参考にしながら、下の部分の濃い部分はニュアンスのみをのこし、キレイにまとめてみました、
このような微妙な色合いでかつキレイにまとめるのは難易度が高いものですが、その場でドクターが見て作ることで再現性が高くキレイに作ることが出来ます、
ジルコニア自体の7年の保証がつくのは、ジルコニア自体の強度と接着、プラークのつかなさからから歯周病の問題との相性の良さからくるものです、
コスト的にらは、リアルなこのジルコニアセラミック(前歯)で11万円(税抜)、奥歯で10万円(税抜)となっています、(リアルがいらない方には他のメニューもお知らせしています)(たた、ジルコニアと他のセラミックの差は思ったよりも大きく当院ではジルコニアをフルクラウンでは進めることが多くなっています)
ぜひ参考にされてください
埼玉県志木市
佐藤デンタルクリニック
TEL 0484741563
HPからネット予約をするとができます!