

埼玉県志木市の佐藤デンタルクリニックです、
今回はセラミックの強度が長持ちやその他のことに強く影響することを書いていきたいと思います、
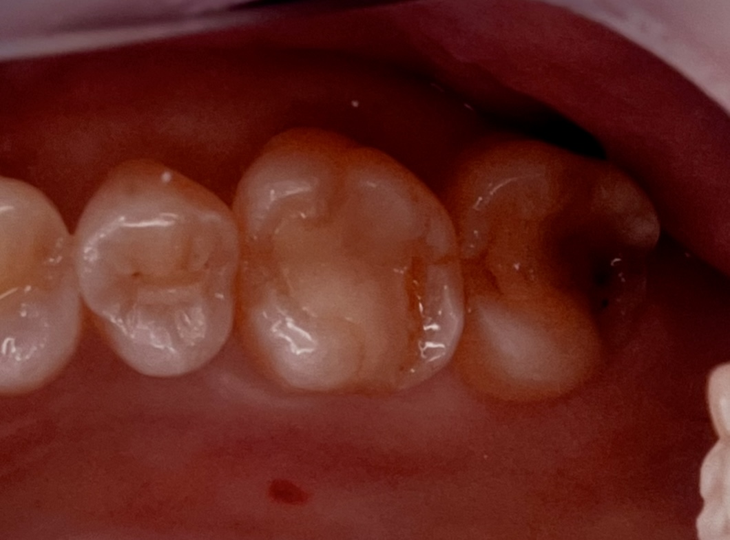
上記の写真を見るとわかるように術前の歯に詰まっている白いものは欠けています、
これはプラスチックの詰め物です、このように奥歯にプラスチックの詰め物をした場合、噛む力とのバランスが取れず割と短期間(数ヶ月から数年)でかけたり削るたりすることがよくあります、
簡便なので一時よくこのような治療が銀歯の代わりに行われましたが、強度的には厳しかったと言わずを得ません、
では、金属による以前からの治療が良いかといえば、それも問題が多くみられます、まず銀歯には、銀やパラジウムが含まれており金属アレルギーの可能性があります、また金属は硬さはありますが変形しやすくその後は歯との間に隙間があき虫歯をつくります、今の虫歯は痛みが出ないことも多いので発見が遅れることもデメリットとなります、
強度としてはもう一歩ですが、いまは保険にもCAD/CAMインレー、CAD/CAMクラウンという、白いプラスチック主体の詰め物被せ物があります、これは硬さはあまりありませんが、歯と接着し一体化するため取れにくく虫歯にもあまりなりやすくありません、銀歯からの交換もしやすいものです、


さらに長持ちや歯垢のつきにくさ(虫歯のなりにくさ)、舌触りなどを加味するとセラミック治療がおすすめできます、表面がツルツルしており10年単位で傷がつきにくく、木の床と大理石の床くらい違いがあります、
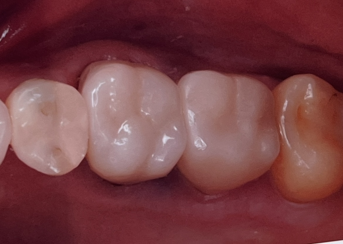
写真の通り、見た目に関しても、設計(噛み合わせ)に関してもその方のパーソナルな状態状況を考え、相手の歯のことまで意識したセラミックを時間をかけて作ります、
このジルコニアセラミックを使った治療は、セラミックが減ったりかけたり取れたりすることがほとんどなく、当院では6年のセラミック完全補償も提供しているものです、
治療数も多く、扱いの難しいジルコニアセラミックの治療数は1500以上になります(リピートの多い治療です)また、最新のセラミック治療器具(セレック)を用い、素早く治療できるのも特徴です、
このようにいくつかの治療の選択肢を当院では用意しています、銀歯のやり直し、虫歯、痛み、前歯の見た目の変更などの治療の際、行うことができます、
それぞれの強度によりその作った歯の長持ち具合は変わってきますし、使っていての快適性、噛みやすさも変わります、ただ、どの治療を選ばれてもその治療の中で最善の治療結果を出すように努力させていただきます、
安心でご来院していただければと思います、
埼玉県志木市
佐藤デンタルクリニック
TEL 0484741563
HPにて予約も承れます!