
志木の佐藤デンタルクリニックです。今回は、当院でおこなっている、1日で銀歯をセラミックに変えることのできる、セレック1dayトリートメントについて、写真を交えながらについて主に説明したいと思います。

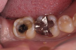
今回は、上の写真の一番左側の銀歯をセラミックにやりなおしました。患者様はお痛みがなかった歯ですが、レントゲンや銀歯のわきが黒くなっていたり、あっていないことから、大きな虫歯になっていると考えられましたので、患者様と相談の上、銀歯を外し、長持ちする可能性の高い、セラミックに変えることになりました。

銀歯をはずしたところ、上の写真のように大きな虫歯になっていました。虫歯は意外と痛みが出にくく、まったく痛みのない状態でも、このように大きな虫歯になっていることがよくあります。(特に銀歯の場合、銀歯の変形からセメントの剥離と破折、そこが空間となり虫歯菌の繁殖がおこり、このような大きな虫歯になることがよくあります)

虫歯を除去し、唾液などの感染がないようにしながら、そこの部分を整えます。銀歯などの場合、ここで型を取り1-2週間で技工士さんがつくりセットしますが、この時期に菌に感染して、二次的な虫歯になったりしみてしまい神経に炎症を起こすことがありますが、1日でセットするセレックの場合、そうした感染がほとんどなく、術後のお痛みもそのおかげでほとんど出ません。

型を取る用意ができましたら、セレック専用のカメラで口の中を動画や写真をとるように撮影します。型を取るのは、ほんの数分で、通常のような粘土のようなものもないため、患者様の我慢も少なくてすみます。
デジタルで型を取ると、コンピューター上にこのような3D模型がすぐできあがります。写真を見ればわかるように非常に精細なものです。当然拡大回転が行えます。

この写真は、セレック上でAIが歯の形を考えてくれているところです。上の模型や噛み合わせもデジタル化されているため、それらのことを総合的に判断して、歯の形を提案してきます。
私は、それをもとに患者様の好みや噛み合わせの癖なども加味しながら、最終的な修正を行います。


設計が終わると、その方にあった色、硬さなどを考えて、特別なセラミックのブロックを選択します。それを院内にある削り出しの機会にとりつけ、削り出しをその場で行います。この大きさであれば10分かからないくらいです。


削り出したものを、口の中で仮合わせして見ます。ノブのようなものが、頬側にのこっています。今回の場合、一切、調整をおこなわず、口の中にピッタリ入りました。慣れているものが、詐術を行えば、ほんとにピッタリなものがあっという間にできあがります。

ノブを取り研磨した状態でセラミックの表面の処理を確実に行い、確実な接着操作を行います。ピッタリあったセラミックをしっかりとつけることにより、長く持つキレイなセラミック口の中に入ります。
全ての作業が大切ですが、全てを院内でできることがプラスに働くことがあると思います。
当院はセラミックに最低三年の保証をつけていますが、適切な歯ブラシと定期検診により、強いセラミックが、より長くいい状態でお口の中に残っていきます!
今回は流れを写真とともにさっと書いてきました。セレックでの一日治療は、約一時間半ほどになります。価格はおおきさにもよりますが、5万円からとなっています。
人生100年時代、あなたも虫歯になりにくく、長く持ちやすい、キレイな歯に変えてみませんか。痛みが出てない時に治療すると、痛みも残りにくく、神経もとらないで済む治療になりやすい傾向があります。
当院でのセレック治療数も1000件をこえました。セレック、セラミックに特化した、テクニック、経験で安定した治療を心がけ治療を行ってまいりたいと思います。
ご興味のある方は、、まずはセラミックのカウンセリングか、お口のチェック検診などで、ご予約いただければと思います。
スタッフ一同、皆様にリラックスして治療を受けていただけるよう、心がけながらお待ちしております。
佐藤デンタルクリニック
電話 0484741563