

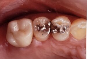
埼玉県志木市の佐藤デンタルクリニックです。今回は保険適用のCADCAMインレーを紹介します。これは昨年から保険に入った新しい部分的な銀歯に変わる治療法です。
色も選べてなかなか綺麗に仕上がります。プラスチックもはいっているため削れやすいのが欠点ですが、その分馴染みは良くなります。
昔のようにすぐとれたり割れたりすることはありません。さらにコストも三割負担で一本5000円程度と保険外に比べればリーズナブルです。
噛み合わせが強い方や歯の本数が少ない方には適用となりませんが、入れることができる場合が多いです。
保険外との違いは、細やかなフィットや色調の審美性の高さですが、そこまで望まない方も多いでしょう。また、5年ほどで細やかなチェックを行い、やり直しも考えれば良いかと思います。そのまま使えることも大いにあるでしょう。
当院はセラミック治療に慣れているので保険とは言え素早く丁寧に作ることができます。
保険外のセラミックインレーと比べるのは少しかわいそうですが、コストにポイントを置く方には新しい良い治療だと思います。

銀歯が嫌だなという方でコストも抑えたいという方はご相談ください。どのような治療が選べるのかも説明させていただきます。
埼玉県志木市
佐藤デンタルクリニック
TEL 0484741563
HP上で24Hネット予約もできます!