



埼玉県志木市の佐藤デンタルクリニックです。今回はインプラント治療のお話です。当院では両側の歯を削り箸をかける(ブリッジ)治療も得意ですのでよく行います。インプラントは怖い、嫌だという方もご相談ください。他にも方法があると思います。
近頃またインプラントの人気が少しずつ高まっているように感じます。いっとき、慣れてない先生が施術されて腫れたり痛くなったりと悪いイメージがついたことがあったように思いますが、インプラント治療はオペが必要になりますが、ほとんど腫れることもないですし、今では、骨とインプラント体も一ヶ月半くらいでくっ付きますし、なんと言っても他の歯に迷惑をかけないのがメリットになるかと思います。
また、当院のようなデジタル技術を取り入れている歯科医院では、インプラントの上の部分の歯を作るのもデジタル印象で行うことができますので簡単で、患者様に迷惑をかけることがありません。
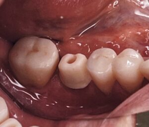
今回の写真は、奥歯に一本インプラント体を入れた治療例ですが、治療計画から三ヶ月もあればこのような歯を入れることができます。

実際にはインプラントの上に金属の土台をねじ止めしたり、歯茎のキワにはプラークがつきにくい特徴をいかして、ジルコニアを立ち上げに使い、何かあった時に上の部分だけ外せるよう、その上にさらにジルコニアのクラウンを被せています。
かなり複雑な治療ではありますが、当院であればこのような治療が院内で完結しスピーディーに行えるとともに、患者様の下のあたりの希望や歯ブラシのしやすい形態を考えながら作ることができます。

ジルコニアのことを色々とここでも書いてまいりましたが、強度が高いこと、10年後も物性が変わらずザラザラになったりしないことがここでも生きてきます。
当院で治療をされた方は、やはりジルコニアをあたれた方はその後も問題が起きにくく、歯肉の炎症も非常に少なくなっています。
やはり自費治療というのは、とくに入れて終わりというものではなく、その後、メインテナンスを行なっていれば快適で問題が起こらないところが大事だと考えています。
そうなるよう材料もそうですが、丁寧で繊細な治療を心がけていきます。
埼玉県志木市
佐藤デンタルクリニック
TEL 0484741563
検索 志木 佐藤デンタル
HP内にてネット予約もできるようになっております