
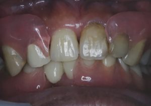
(バネのない入れ歯)ノンクラスプデンチャーが上下にはいっています。下の写真では銀色のバネが目立ちますが、こちらではありません。口を閉じて普通に話している時には、入れ歯が入ってるとは思われないとおもいます。(今回は色々な事情でピンク色のバネを大きく伸ばしています。通常はさらにピンク色の部分も小さく目立ちにくくなります)

(術前)通常のバネになります。歯がなくなるともっと真ん中にバネが目立つ形にかかることになります。
明けましておめでとうございます!志木市の佐藤デンタルクリニックです。今回は、銀色のバネのない入れ歯のことについてかいてみたいと思います。
銀色のバネのないこの入れ歯は、たしかに取り外し式の入れ歯ではあるのですが、入れ歯を入れる方の1番のストレスであろう、銀色のバネがありません。
そのため、いれていても入れ歯という感じが少なく、人の目を気にすることなくいれることができます。
歯を失った場合、ない歯が一本もしくは二本程度であれば、ブリッジという固定式のものを入れることもできますが、それ以上の場合、大きめの入れ歯を入れることになります。
当然、インプラントを打つという選択肢もあるのですが、オペをするというストレス、出来上がるまでかなりの期間がかかること、そして、費用の問題(複数の歯がない場合100万円をこえることも珍しくありません)をかんがえると、二の足を踏んでしまう方も多いように感じます。
老後の管理まで考えると、よく主治医の先生と相談することが大切かと考えます。ただし、歯がないところに固定式のきちんとかめる歯が入るメリットは他に代え難い事でもありますので、 入れ歯にするのかインプラントにするのかは難しいところです。
とうぜん、当院でもインプラントは行なっていますし、いい点もたくさんあります。当院では、セレックを使用してオペのその日に歯を入れることができる症例もあります。
ただ、今日はインプラントはちょっとという方のための入れ歯の話です。
最初に書いた通り、ノンクラスプデンチャーには銀色のバネがありません。歯に引っかかる部分は、金属でなく、入れ歯の赤いところを延長し弾力をもたせて、歯に引っ掛けています。
ここを精密に作ることで、入れ歯が動かず、浮かないようにできるのです。入れるときに少しこつが必要ですが、慣れてしまえばみなさん簡単に出し入れされます。
また、通常の入れ歯よりピタッとあっているため、ものが挟まりにくいのも特徴です。
以前のハッピーデンチャーに比べるも、キズなども付きにくくなり、もちもよくなりました。修理などができる種類のものも用意されています。
ただ、保険外の治療となるため、片側15-22万円と少しコストは高めです。また、入れ歯ですので、一生持つというのは、難しいかもしれません。
しっかりかめるということを望まれる方には、やはり、ブリッジかインプラントをお勧めすることが多いですが、コストが比較して安く済むこと、割と早く出来上がること、そして、出来上がりを気にされる方には、ノンクラスプデンチャーはいいと思います。
とうぜん、入れ歯は、残っている歯に負担をかけてかむものですから、見た目をきにしつつ、残っている歯に負担をかけすぎないこともポイントになります。長持ちさせるにはバランスが大事なのです。
その辺りのことも考えて、ブリッジ、インプラント、入れ歯、どの選択肢が良いのか、写真などをお見せしながら、しっかりとお話しさせていただきます。
いちど、カウンセリングもしくは、定期検診、クリーニングなどで、予約をとっていただければ、お話しできるかとおもいます。
入れ歯が合わないなどのお悩みのある方は、おでんいただければと思います。
今日はこの辺で、、