



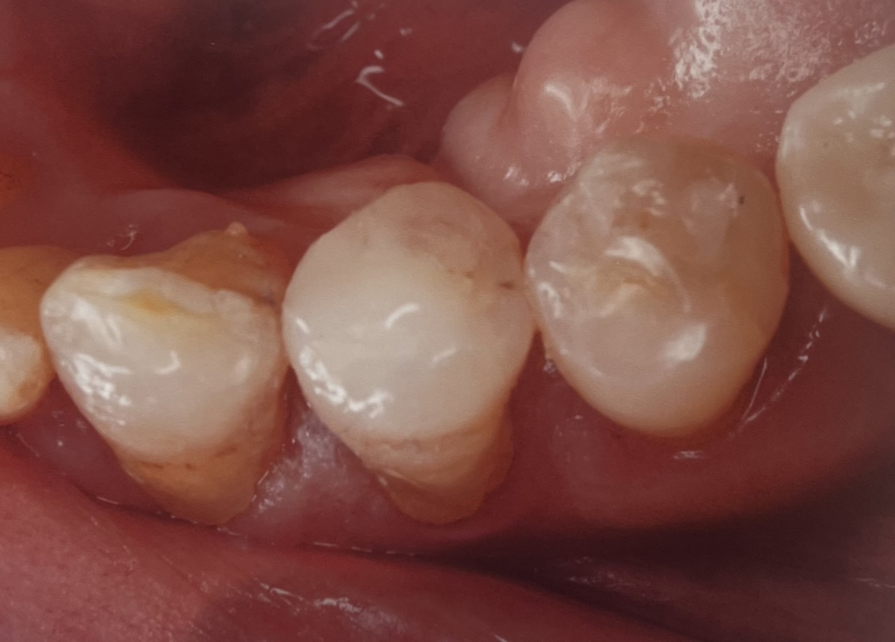
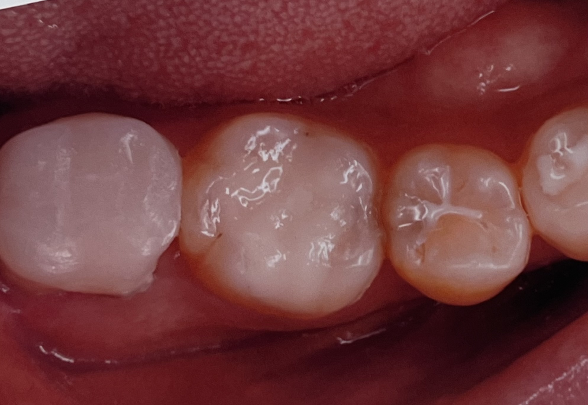
埼玉県志木市の佐藤デンタルクリニックです。今回は、部分的な銀歯を含む虫歯をぶぶんなセラミックで治療したものです。
銀歯は、もう何十年も歯の治療のメインとして行われてきたものです、そして、いまだに行われています、
しかし、銀歯治療には現代には即さない致命的な欠陥があります、特に今回あげた銀歯(アマルガム)と言われるおもにに昭和時代に行われた詰まる治療は、元々の治療が深いことが多く、神経まで到達してしまうことが多くほっておくと神経を取る治療になりやすい欠点があります、
また、アマルガムは物にもよりますが、水銀を含んでああることがあり、アレルギーの観点からも口の中に入れるのは良くないと現代では言われています、
当院での治療は、保険外にはなりますが、セレックという機械を用いて数時間で、麻酔からセラミックセットまでを行うものです、1dayトリートメントといいます、
この治療の利点は多く
1️⃣麻酔や来院回数を抑えられる
2️⃣治療後に細菌や汚れの侵入がなく痛みが出にくい
3️⃣高度なデジタル技術をもちいるため型取りが楽
4️⃣セラミックがきれい
5️⃣セラミックの精度が非常によい
6️⃣接着技術の応用によりやり直しが少ない
7️⃣強度が強く割れたり外れたりしにくい
などなど数多くあります、近頃では、セレック技術を用いての治療が10年を超えましたが、やり直しはほぼありません、(定期的なクリーニング、チェックは大切です)

ここには治療例を二つほど載せましたが、当院での治療数は、部分的なものだけで1500を超えています!そのなかで、銀歯のように外れたとかしみる、かけたなどの問題はほぼおきていません。
これはセレック自体の基本技術がしっかりしていることと、技術の成熟を表しています、
やり直しの少なく噛んだときの違和感の少ない治療をしてみませんか?回数や期間も少なくて済みます、
今回の治療は、エナミックという弾力があり、かけにくい噛みやすいセラミックを用いて行なっています、価格は、65000-80000円(税別)となります、虫歯の大きさなどによっては全体を覆うものも良いかと思いますが、歯の歯質を残したい方にはこの治療がおすすめです、
セラミックの種類なども多数用意しておりますのでご相談ください、
埼玉県志木市
佐藤デンタルクリニック
TEL 0484741563
HP内でネット予約もできます!