自然で長持ちの前歯ジルコニアセラミック治療

Screenshot

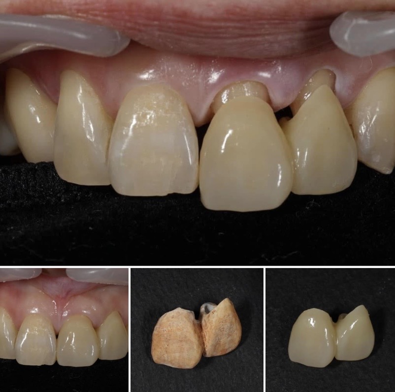
埼玉県志木市の佐藤デンタルクリニックです、今回は前歯の治療です、自然で馴染みが良くキレイで、長持ちする歯をジルコニアセラミックで作っています、

隣の歯と馴染む自然な前歯の精密治療を院内作製のため、前歯で11万円➕税で作ることができます、この金額は、都内の歯科医院の価格などを見ると少しリーズナブルに感じるかもしれません、

セラミックといっても色々な種類があり、もちも違ってきます、また、色合わせはその歯科医院によってまったく違い、置物のようにただ単にかキレイに作るだけでは隣の歯との違和感が大きくなってさまいますし、以前のような金属フレームを使ったものでは歯茎のキワに黒いラインが出ることもあります、

ジルコニア治療の良さはここでも何回も書いてきていますが、最終的にはセラミックの劣化がほとんどなく、10年程度ではびくともしないことがほとんどです、(歯の悪さの程度により歯自体の永続性は変わることがあります)

他のセラミックは入れた時はキレイですが、表面が荒くなりやすく、10年もたつと強度が半分以下になることもよくあることです(結果的に割れたりかけたりしやすくなり、表面がざらざらになりプラークがつきやすくなります)

その反面扱いが難しく、通常のセラミックより作るのに手間がかかります、また、強度あるため良い色を出すことが難しく、違和感のある色調のジルコニアもいまだに見られますが、

当院では、前歯の場合11万➕税、奥歯の場合10万➕税のプライスで複雑な色やその方のための設計、噛み合わせなどを実現しています、デジタル技術を10年ほど前より導入して精密なジルコニアセラミックを2000本以上セットしてきております、

ネットなどで見るジルコニアのイメージと当院のジルコニアの色の正確さが違うのは、院長が患者さんのお口の中を見ながら色や形を決め、設計までも自分で行えること、また最先端のインフィルトレーションという色を馴染ませるテクニックを用いジルコニアであってもその方に馴染む色合いを出せることがポイントになっています、

ご自身のお口に自然で、長持ちするセラミックを考えている方はご相談ください!

埼玉県志木市
佐藤デンタルクリニック
TEL 0484741563
HP内にネット予約も取れるようになっております!