
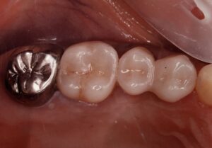
美しいツルツルしたセラミック!
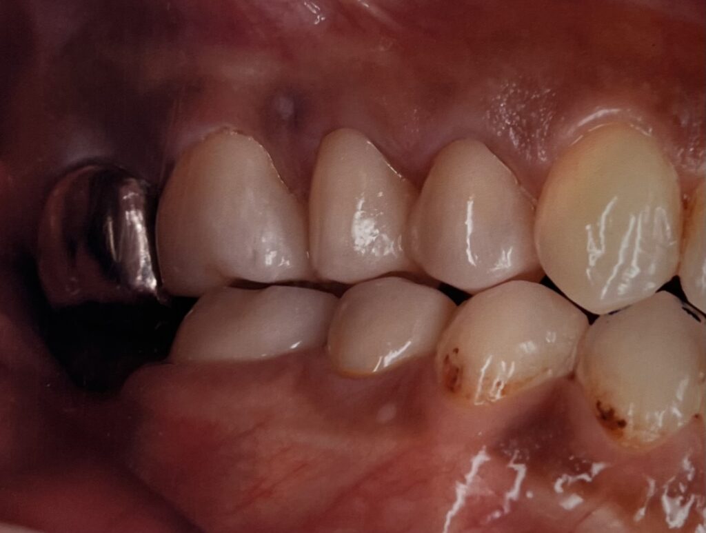
残念ながら銀歯は傷がつき歯垢がつきやすくなります。また冠自体の変形により内部のセメントが変形しかけて虫歯を作るスペースを作ってしまいます。
当院作製のジルコニアセラミックは、ジルコニアの色が悪いという欠点を克服し作製完成までの期間も内部院長作製によって短期間でできるようになりました。
色々とその場に求める理想は人により違うと思いますが、このジルコニアセラミックは、歯よりもツルツルしており歯石などもつきにくくまたそれが続きます。お手入れも楽なのです。
当然、昔のセラミックのようにかけたりすることもありませんし、とれたり銀歯のようにセメントが溶けて虫歯になることもほとんどありません。
ちょうどこの前、患者様が、このジルコニアセラミックで全部覆う治療を行うか、もう少し柔らかい素材のセラミックで部分的に削って詰めるか悩んでおられました。通常は歯は出来るだけ削らないのが良いのに決まってるのですが、たしかにこのジルコニアならばどうせなら全部覆ってしまった方が後々問題は起きにくい可能性すらあります。
その方は、話し合いの結果、部分的なセラミックにされましたが、たしかに10年ご20年後のもちということを考えた場合、悩むことかもしれません。そのくらい素材は優れています。通常のセラミックは10年経つと強度が半分になるという報告もあります。どうせならというのはその辺りからくるのです。(ジルコニアも強度は落ちますが二割程度ですしともとの強度が通じてのセラミックの倍以上あるのです)
とはいえ、歯茎のまわりの歯ブラシやメインテナンスは必要ですし、噛み合わせのチェックも大切です。
当院ではメインテナンスに来ていただいている方には、最低6年のジルコニアの保証を行っています。ただ、私は99%の方が6年は軽く超えて使えると思いますし、10年位やそれ以上、問題なく使える方もかなり多いと考えています。
これだけの差がありながら、通常のセラミックとジルコニアセラミックの当院での価格差は2万円ほどです。これをどう見るかはその方その方の判断にゆだねるわけですが、結果としてジルコニアを選ばれる方がほとんどです。
壊れないというレベルでなく、快適に使い続けることができるという点でも通常のセラミックとは差があります。部分的なものであればその大きさにあったセラミックを勧めることも多いのですが、冠タイプの場合当院の技術があればジルコニアが多くの場合コストパフォーマンスもよく向いていると思います。
ただ、これは歯科のセラミック治療のなかでも超最先端な話ですので、通常の歯科医院ではあてはまらないこともあります。素材が硬い分調整や作成の難易度が高いからです。
今回は少し長くジルコニアセラミックの魅力を書きましたが、オススメはまず銀歯などのやり直しを一本だけでもしてみることです。口の中は敏感ですから、気に入らないものはすぐわかります。
逆に気にいる時も一瞬です。




埼玉県志木市
佐藤デンタルクリニック
TEL 0484741563