
セット後(左から2番目の歯です)
当院にて制作したセレックによるセラミックインレーです。大きな銀歯が入っており(下の写真)銀歯を外すと神経までほとんど到達しているような大きな虫歯になっていました!患者様は自覚症状は全くなかったそうです。かなり大きな虫歯でしたが、術後の違和感はないそうです。
色も自然でフィットもかなりうまくいったのではないかとおもいます。この症例でも、麻酔をかけてから2時間ほどで、セラミックインレーのセットまでが一度の治療で行われています。(通常の歯科医院での型をとっての治療ですと、型をとってから2週間はセットまでかかり、その間に細菌に感染しお痛みが出たり予後を悪くすることがあります)

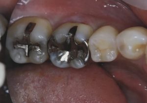
術前(左から2番目)
以前入れられた銀歯に隙間ができ、間から虫歯になっています。患者様と相談し、痛みはないけれども、これ以上進行した場合、神経を取る処置をしなければならない可能性が高まることを考え、銀歯をセラミックにやり直すことにしました。
はずしてみると、やはりかなり大きな虫歯になっていました。今の虫歯は痛みがほとんどなくさ進むことも多くあります。神経を残すためにも、早めのチェックとしっかりした治療をオススメします!(症状が出ていない歯の場合、虫歯がかなり大きくてもセラミックによる治療により神経を残せる場合が多いです、症状が出てからだと神経を取る可能性がかなり高くなります)